관련링크
본문
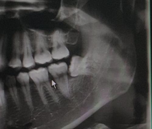
집근처에 사랑니 전문으로 하는데서 2시간 걸렷는데 진짜 힘들엇어요 ㅠㅜ..
다행히 진통제 덕분인지 얼음찜질 덕분인지 마취풀려도 괜찬네요
반대쪽 사랑니는 제대로 낫는데 안아파서 안뺄생각...(원래는 빼려고햇는데.. 봐주기로햇습니당..)
|
|
|
|
|
|
|
댓글목록
|
|
MirrorLake님의 댓글 MirrorLake
쪽지보내기
자기소개
아이디로 검색
작성일
|
|
|
치아관리 잘하셨네요 때운곳 없네요 | ||
|
|
작성일
|
|
|
치과는 스케일링 말고는 가본적 거의 없엇거든요 ㅋㅋㅋㅋ | ||
|
|
작성일
|
|
|
저는 4개 다 빼고나니 치위생사랑 의사가 박수쳐주더라구욬ㅋㅋ | ||
|
|
작성일
|
|
|
와 진짜 고생했겟네요 ㅋㅋㅋㅋ 저는 위에 사랑니 없어서 얼마나 다행인지 ㅜㅜ | ||
|
|
작성일
|
|
|
고생하셨네요~ 저는 사랑니가 부어서 아플때 병원갔는데 항생제 먹고 나서 안 아프고나서 안 갔어요 ㅠㅠ 그때 뺄걸 후회됩니다. | ||
|
|
작성일
|
|
|
저도 누워있는 이때문에 나중에 고생할까봐.. 큰맘먹고 뺐습니다. ㅎㅎ | ||
|
|
작성일
|
|
|
잘하셨네요. 들은얘기인데 나이가 들면서 약해진 잇몸때문에 어금니가 약해져서 무너질수도 있다고 해요.
| ||
|
|
작성일
|
|
|
오호 처음 듣는 사실이네요.. 그러고보니 사랑니 뺄때는 병원 여러군데 가보라더라구요 안 빼고 관리만 잘하면 될 수도 있다고.. | ||



