관련링크
본문
모두가 알듯이 눈탱이를 많이 치는 대표적인 의료기관이 치과입니다.
그래서 요새는 좋은 치과를 힘들게 찾아다니는걸 종종 볼 수 있죠.
덕분에 본업에 충실한 좋은 의사들까지 치과?ㅉㅉㅉ하면서 함께 매도되기도 합니다.
주변에서 좋은 치과 정보를 얻기 힘든 분들께 드리는
개인적으로 치과를 고르는 방법은
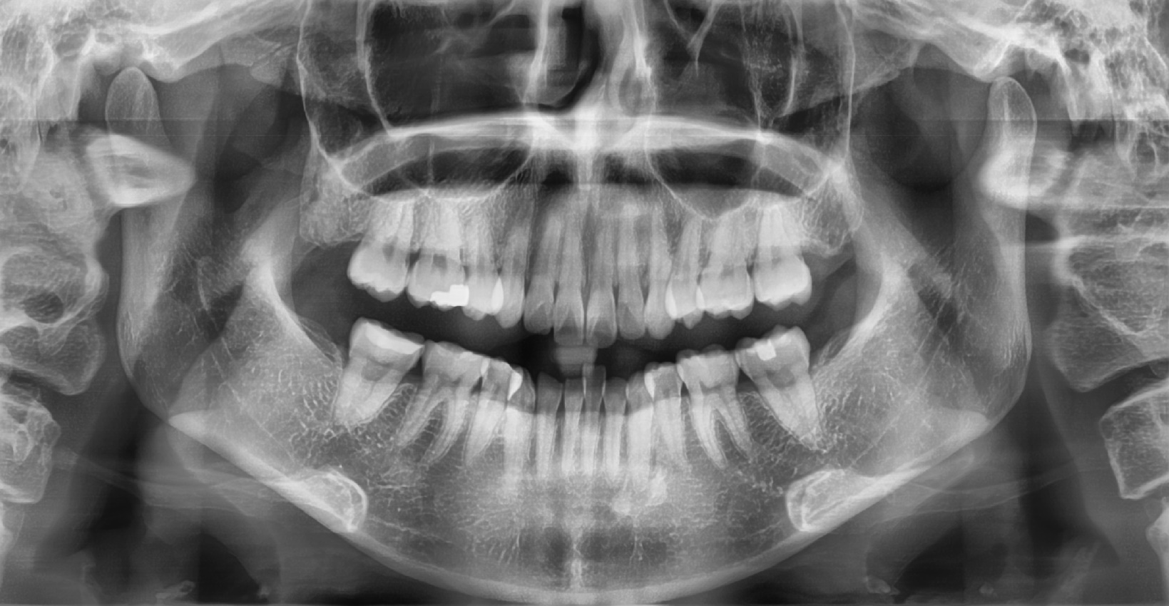
1. 파노라마 사진 ( 위아래 턱이 한꺼번에 나와서 사진 하나에 치아가 모두 찍히는 사진 )만 보며 설명 할 뿐 의사가 탐침으로 입 안을 살피지 않는 경우 패스합니다.
=>
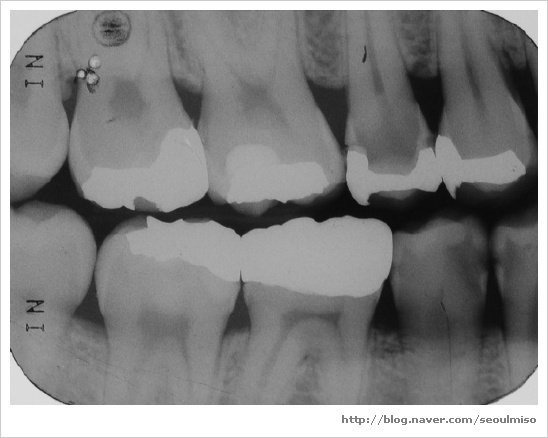
일단 엑스레이를 찍는 이유는 치아와 치아가 붙은 그 사이를 육안으로 확인하기 어려운 경우에 도움을 받으려고 찍거나 치아 뿌리의 상태를 확인하기 위해서 찍습니다.
치아 윗면이나 옆면은 직접 입 안을 살펴보고 탐침으로 건드려보고 하면 견적이 나옵니다.
게다가 파노라마 사진의 경우 이것만으로는 치아 사이의 충치를 완벽히 발견 할 수 조차 없습니다.
치아 사이의 충치를 제대로 확인하려면 교익 방사선 사진이 필요합니다.
( 추가: 파노라마 사진, 교익 방사선 사진 )
파노라마
2. 코디가 따로 있는 치과는 패스합니다.
=>
코디 즉, 치료를 설명해주고 계획을 짜는 간호사가 있는 치과는 패스하는게 좋습니다.
병원에 갔는데 진단에대한 설명이나 향후 치료 계획을 의사가 아닌 코디가 해준다???
도망가세요~~ㅋ
말이 안되는게 상태를 진단하고 치료 계획을 환자와 상의하는건 기본적으로 의사의 영역입니다.
코디를 두는 이유는 베드를 여러개 두고 의사가 잠시 봐주고 옆테이블에 가면 코디가 담당하는 형식으로해서 동시에 많은 환자를 받을 수 있기때문입니다.
그리고 코디는 수당이 있어서 불필요하게 많은 치료는 받게 만드는 구조입니다.
저도 어머니를 모시고 치과에 갔었는데 파노라마와 교익 방사선 사진을 찍고 의사가 코디에게 잠시 쏼라쏼라대고
바로 옆 베드로 가더군요.
그후 코디가 발치 몇개하고 신경치료하고 크라운 몇개 씌워야한다며 일단 오늘은 스케일링하고 본격적인 치료는 다음 예약타임 부터 한다고 하길래 그냥 스케일링도 안받고 나왔습니다.
당일에 간단한 치료라도 받게하는 것은 환자가 다음 예약을 잡고 자기 병원에서 치료를 진행 할 확률이 높기 때문이겠죠.
못믿을 병원이라고 판단 되신다면 괜히 앉아서 당하지 마시고 그냥 나오시기 바랍니다.
어쩌지하면서 고민하는 모습을 보는 순간 코디에게 당신은 먹잇감일뿐입니다ㅋㅋ
( 추가: 코디가 있는 것은 의사의 실력과 상관관계는 없습니다. 다만 과잉 진료를 예방하는 한 방편일 뿐입니다. 치과진료를 많이 받아봤고 개인적으로 환자가 가져야하는 지식을 공부해서 가지고 계시다면 크라운이나 임플 등의 치료시 유연하게 치과를 선택 진료 받을 수도 있습니다ㅋ)
3. 일단 최소 3군데에서 진단 받아보길 권합니다.
=>
원래 믿고 다니던 치과가 없는 분이라면 최소 3군데는 진단 받으러 다니시길 권합니다.
어차피 치아라는게 지속적으로 관리가 필요한 부분이라 믿고 다닐 병원이 필요하잖아요?
그래서 당장 치료를 위한 것도 있지만 믿고 다닐 병원을 찾는 과정이라고 보면 될거 같습니다.
보통 파노라마 사진만 찍고 진단받으면 7천원 정도 나오고 교익방사선 사진까지 찍으시면 1.2만 정도 나옵니다.
3군데 돌아도 4만원 안짝이니까 눈탱이 맞아서 수백 나가는 경우를 대비하는 금액치고는 싼 편입니다.
이상 개인적인 의견입니다.
참고하세요~ㅎ
|
|
|
|
|
|
댓글목록
|
|
동네 오래된 작은병원 빼고는 코디없는곳을 찾기가 더 힘들더군요 전 의사가 비용설명 하기싫으니 설명하는 코디 고용하는거로 알고있습니다 전 비용은 좀 들였으나 일단 만족이고 동료들도 마찬가지라네요 회사인근이라서요 |
|
|
코디를 두는 것에는 뭐 여러가지 용도가 있지만 금액적인 부분이 제일 크죠.
|
|
|
충치치료하러갔다가 금니씌우고 신경치료하고ㅠ |
|
|
금니면 어금니 치료하셨나보네요.
|
|
|
MirrorLake님의 댓글 MirrorLake
쪽지보내기
자기소개
아이디로 검색
작성일
예전에 식품사고터지면 먹는거 가지고 장난치는것들은 사형시켜야된다는 국민들 말이 많았죠
|
|
|
그렇긴한데 의사의 경우는 특수해서 그걸 밝혀내기가 어렵죠.
|
|
|
억;;; 몇달전에 치과 치료했는데 간호사분이 친절하게 잘 설명해주신다 싶었는데 그게 코디였나보네요.. ㅜㅜ 친절해서 좋긴했는데 치료는 잘 모르겠어서 담엔 다른데로 가려구요 (왼쪽 아랫니가 안좋았는데, 오른쪽 아랫니 신경치료랑 왼쪽 윗니 치료. 평소에 증상 없던데라 치료한 후에 되려 불편 ㅜㅜ)
|
|
|
지인과 약속시간이 다 되어서 다음에 전화로 약속잡겠다하고 도망가세요ㅋㅋㅋ
|
|
|
아버지 추천으로 나이 많이 드신 할아버지 의사 있는 곳을 갑니다.
|
|
|
스케일링까지는 뭐 실력있는 간호사면 상관없을거 같습니다.
|
|
|
좋은꿀팁이네요 제 고딩동창이 강남에 치과코디인데요 걔도 그병원서 치료안하고 ㅋㅋ 월급도 꽤많더군요 덕분에 코디있는병원 거릅니다 ㅋㅋ |
|
|
손님 모으는 재주가 있으신가 보네요.
|
|
|
뭘사려고하면말려줘요님의 댓글 뭘사려고하면말려줘요
쪽지보내기
자기소개
아이디로 검색
작성일
보통 사람 많으면 일명 코디라는분이 다 계시는 치과밖에 안가봤네요..
|
|
|
코디가 있는 치과는 인터넷이나 카페 등에 광고 많이하죠ㅎㅎ
|
|
|
1.2번은 잘 모르겠고 3번은 확실합니다. |
|
|
맞아요.
|
|
|
네 군데 다녔더니 씌워야 할 개수부터 재료까지 전부 하는 말이 다릅니다. |
|
|
얼마전 어머니를 모시고 3군데 치과를 방문했는데 발치 3~4개, 크라운 2~4개(신경치료 포함), 레진 3~4개, 발치 치아 나중에 임플 권유 등을 하더군요. |
|
|
3번 동의합니다.
|
|
|
|
|
|
대체로 공감, 동의합니다 !ㅎㅎ 정말 거의 이게 맞아요 ㅋㅋ |
|
|
|
|
|
저는 동네 한군데서 쭉 30년 넘게 다닙니다. 이곳에서 30년전 치아뺀거, 20몇년전에 아말감땜빵한거 등등 기록 다 남아있죠. 혹시 좀 이, 턱이 아파서 가도 별 이상없으면 기본진료비조차 안 받더군요. 오히려 커피 대접.
|
|
|
그마음 이해가 갑니다.
|
|
|
저도 이상황이였는데 이제 예전만안하더군요ㅠ
|
|
|
좋은팁 감사합니다 안그래도 치과옮겨야돼서 머리아픈데 잘찾아봐야겠네요 |
|
|
믿고 맏길만한 곳이 많이없죠. |
|
|
3번은 격공합니다 ㅎㅎ 다만 2번은 없는데가 너무 없어서...ㅎㅎ 그래서 진료 설명이라도 의사분이 다해주는곳으로 다닙니다. 그래도 진료보고 어디치료 어디치료하셔야된다는 의사가 다 해주고 그러고 나서 상담실에서 코디랑 비용설명... ㅋㅋㅋㅋㅋ |
|
|
그쵸. 요새 코디 없는 곳 찾기가 힘들 정도....ㅜㅜ |
|
|
코디있는 치과는 진짜 피해야됩니다. 견적장난 아니더군요. |
|
|
뭐 엄청 때려 박는 코디가 있죠.
|
|
|
홍대역 모던치과 추천드립니다~^^ |
|
|
단골 치과인가보군요.
|
|
|
아는지인이 코디있는 큰 병원 치과페이인데 항상 자기는 페이라서 과잉진료를 하지 않는데 환자들이 가끔 도둑놈처럼 볼때가 제일 스트레스 받는다고 하더군요ㅜㅜ
|
|
|
페이 닥터는 원장에게 압박 받는게 없나요?
|
|
|
규모가 조금 있으면 다 페이죠^^ 어떤 치과프랜차이즈는 수당같은게 있어서 업계에서도 안좋게 본다네요. 지인이 있는곳도 지점이 몇개 있는데 지인이 있는곳은 그런게 없다고 합니다. 지인자체가 그런거 할 성격도 못돼서...그런거 할바에야 때려칠껄요ㅎ |
|
|
95년에 강남역 뉴욕제과 건물에 있는 치과에서 금니씌운거 아직도 멀쩡합니다. 그 때 간호사가 하는 말이 "우리 선생닝 돈은 좀 밝히시지만 실력은 좋으시다"고 했었는데 사실인 듯 해요.
|
|
|
크라운의 경우 사용자에 따라 5~10년 정도를 평균으로 본다는데 23년이나 써도 말짱하다니ㄷㄷㄷ
|
|
|
추가로
|
|
|
맞아요.
|
|
|
치과용 X-ray 는 방사선이 적기에 그런대로 괜찮습니다. |
|
|
와우~ 좋은팁 감사합니다~
|
|
|
부끄러운 팁입니다.
|
|
|
잘 읽다가 막짤이;; 앟..아..아닙니다.
|
|
|
보통 1.5~2 나올텐데요.
|
|
|
좋은 팁입니다. 치과 안가면 좋지만 가게 되면 참고가 많이 될 것 같습니다.강추!!! |
|
|
누추한 팁이죠ㅎㅎ
|
|
|
막짤 ㅎㅎㅎ |
|
|
좋은 정보 감사합니다. |
|
|
좋은 정보 감사합니다 |









